健康診断への想い
動物病院には『診断・治療』以外にもう一つ大切な役割があります。
それが病気にならないようにすること、つまり『健康診断』を初めとした予防医療です。
健康診断の目的は
- 現時点での体の健康を可能な範囲で証明すること
- 病気が見つかった場合、早期発見・早期治療により健康寿命を延ばすこと
になります。
言葉を話すことができない動物の健康を守るためには、各種検査を通して現状を把握することが何より重要です。
動物たちの健康維持と飼い主様の安心のために、サーカス動物病院がお役に立てる最大限のご提案をします。
健康診断スケジュール
1.ご予約
- 健康診断は完全予約制です。来院時またはお電話にて検査のご予約を受け付けています。
※お電話でのお問い合わせは、診療時間内にお願いします。 - お申込み時にご希望の日程をお伺いします(予約状況によってご希望に添えない場合がありますが、ご理解ご協力をお願いします)。
2.お預かり
- 食事は前日の24時まで、飲水は当日の7時までに終えてください。
- 当日は午前中に診察室で問診を行い、検査内容を決定します。
- そのまま病院でお預かりし、日中に各種検査を行います。
- お迎えは午後の診療時間となります。獣医師とご相談ください。
持ち物
療法食、常用薬がある子はフードやお薬をご持参ください。
当日の便と尿をお持ちいただけますと、検査がスムーズに進みます。
ご自宅で採尿できない場合、院内で採尿可能(別途費用がかかります)
- 食事は前日の24時まで、飲水は当日の7時までに終えてください。
- 当日は午前中に診察室で問診を行い、検査内容を決定します。
- そのまま病院でお預かりし、日中に各種検査を行います。
- お迎えは午後の診療時間となります。獣医師とご相談ください。
持ち物
療法食、常用薬がある子はフードやお薬をご持参ください。
当日の便と尿をお持ちいただけますと、検査がスムーズに進みます。
ご自宅で採尿できない場合、院内で採尿可能(別途費用がかかります)
検査内容
基本の3つのプランをベースに、ご家族の希望や獣医師との相談により検査内容を決定します。
1身体検査
「触診」「聴診」「視診」により機能異常がないかを確認します。また、関節系や感覚神経系の評価も行います。
2糞便検査・尿検査
尿検査により腎臓や膀胱の評価を行います。また、便検査では腸内細菌の異常や寄生虫の有無を調べます。
3血液検査
血球計算、生化学検査により血液や各臓器の異常がないかを検査します。また、血液中の甲状腺ホルモン濃度も同時に検査します。
4レントゲン検査
心臓や肺、骨、内臓の大きさや形を調べ、異常がないか検査します。
5エコー検査
エコー装置を使って臓器の形態異常や動き、腫瘍の有無を観察します。また、心臓の動きや血液の流れを検査します。
6血圧/心電図
不整脈や心疾患の有無を調べます。
7眼科検査
眼内の炎症や白内障などの眼の異常を検査します。
8皮膚科・耳科検査
皮膚に含まれる水分量や被毛の状態を検査します。また耳道カメラにより耳の中を検査します。
9歯科検査
レントゲンにより歯の異常を検査します。また口腔内悪玉菌の数を検査します。
※動物の状態や性格により検査に支障が出る場合、動物の安全を優先して止むを得ず中止する場合があります。
あらかじめご了承ください。
3.結果報告
ベーシックプランは当日、スタンダードおよびプレミアムプランは後日、ご来院いただき検査結果を詳しくご説明します。全ての検査結果を揃えて結果報告書を作成するため、報告までの目安は検査後おおよそ2〜3週間となります。
遠方にお住まいの方などご事情によっては、検査結果の郵送をお選びいただくこともできます。
よくあるご質問
Q 症状がなければ健康なんじゃないの?
A 必ずしも健康とは言い切れません。
犬猫は病気を隠す動物で、進行してから症状が出る病気はたくさんあります。多いものとしては歯周病、心臓病、腎臓病、胆管道系疾患などが挙げられます。これらの病気の早期発見には健康診断が最も有効な検査になります。
Q 早期発見すると何が良いの?
A 最大のメリットは早期治療により病気の進行を遅らせることが出来ます。
心疾患を持つ犬では早期にお薬を飲んだ場合、飲まなかった犬と比べて1年以上寿命が延びたという報告があります。また、腫瘍の早期発見は手術により根治できる可能性が格段に上がります。治療の選択肢が広がり、愛犬・愛猫の未来に対して選択肢を持つことができます。
Q 何歳から健康診断を始めたらいいの?
A 若い内から1年に1回の健康診断をお勧めしています。
また、「点」ではなく、健康な頃からデータを蓄積し「線」で追うことで、小さな変化に気付くことができ、病気の早期発見に繋げることができます
Q どのくらいの頻度で健康診断は必要なの?
A 7歳以上の子では年に2回の健康診断をお勧めします。
高齢の場合、癌などの病気は進行が早く、年に1度の健康診断では早期発見に繋げることは難しくなってしまいます。安心してお過ごしいただくため、7歳以上の子では年に2回の健康診断をお勧めします。
Q もし検査で異常が見つかった場合はどうすればいいの?
A まず、獣医師から説明を聞き、どのような状況なのか、どういう病気が考えられるのかを正しく理解してください。
その後、獣医師とよく相談しながら、愛犬・愛猫にとって最善と考えられる選択肢を決めていきます。そのため、時期を決めて経過観察を行うこともあれば、次の検査や治療に進むこともあります。
Q 病気が見つかった場合、治療法はどういうものがあるの?
A 一つの病気に対しても治療法は様々です。
サプリメントや食事療法から始める病気も多数あります。ご家族が納得し、無理せず続けていける最善の治療法を獣医師と一緒に相談していきましょう。また、当院での治療が困難な病気であっても、獣医師は専門病院や二次診療施設と連携を取り、愛犬・愛猫に対して最善の医療を提供できるよう、最大限にご協力致します。
A 必ずしも健康とは言い切れません。
犬猫は病気を隠す動物で、進行してから症状が出る病気はたくさんあります。多いものとしては歯周病、心臓病、腎臓病、胆管道系疾患などが挙げられます。これらの病気の早期発見には健康診断が最も有効な検査になります。
A 最大のメリットは早期治療により病気の進行を遅らせることが出来ます。
心疾患を持つ犬では早期にお薬を飲んだ場合、飲まなかった犬と比べて1年以上寿命が延びたという報告があります。また、腫瘍の早期発見は手術により根治できる可能性が格段に上がります。治療の選択肢が広がり、愛犬・愛猫の未来に対して選択肢を持つことができます。
Q 何歳から健康診断を始めたらいいの?
A 若い内から1年に1回の健康診断をお勧めしています。
また、「点」ではなく、健康な頃からデータを蓄積し「線」で追うことで、小さな変化に気付くことができ、病気の早期発見に繋げることができます
Q どのくらいの頻度で健康診断は必要なの?
A 7歳以上の子では年に2回の健康診断をお勧めします。
高齢の場合、癌などの病気は進行が早く、年に1度の健康診断では早期発見に繋げることは難しくなってしまいます。安心してお過ごしいただくため、7歳以上の子では年に2回の健康診断をお勧めします。
Q もし検査で異常が見つかった場合はどうすればいいの?
A まず、獣医師から説明を聞き、どのような状況なのか、どういう病気が考えられるのかを正しく理解してください。
その後、獣医師とよく相談しながら、愛犬・愛猫にとって最善と考えられる選択肢を決めていきます。そのため、時期を決めて経過観察を行うこともあれば、次の検査や治療に進むこともあります。
Q 病気が見つかった場合、治療法はどういうものがあるの?
A 一つの病気に対しても治療法は様々です。
サプリメントや食事療法から始める病気も多数あります。ご家族が納得し、無理せず続けていける最善の治療法を獣医師と一緒に相談していきましょう。また、当院での治療が困難な病気であっても、獣医師は専門病院や二次診療施設と連携を取り、愛犬・愛猫に対して最善の医療を提供できるよう、最大限にご協力致します。
A 若い内から1年に1回の健康診断をお勧めしています。
また、「点」ではなく、健康な頃からデータを蓄積し「線」で追うことで、小さな変化に気付くことができ、病気の早期発見に繋げることができます
A 7歳以上の子では年に2回の健康診断をお勧めします。
高齢の場合、癌などの病気は進行が早く、年に1度の健康診断では早期発見に繋げることは難しくなってしまいます。安心してお過ごしいただくため、7歳以上の子では年に2回の健康診断をお勧めします。
Q もし検査で異常が見つかった場合はどうすればいいの?
A まず、獣医師から説明を聞き、どのような状況なのか、どういう病気が考えられるのかを正しく理解してください。
その後、獣医師とよく相談しながら、愛犬・愛猫にとって最善と考えられる選択肢を決めていきます。そのため、時期を決めて経過観察を行うこともあれば、次の検査や治療に進むこともあります。
Q 病気が見つかった場合、治療法はどういうものがあるの?
A 一つの病気に対しても治療法は様々です。
サプリメントや食事療法から始める病気も多数あります。ご家族が納得し、無理せず続けていける最善の治療法を獣医師と一緒に相談していきましょう。また、当院での治療が困難な病気であっても、獣医師は専門病院や二次診療施設と連携を取り、愛犬・愛猫に対して最善の医療を提供できるよう、最大限にご協力致します。
A まず、獣医師から説明を聞き、どのような状況なのか、どういう病気が考えられるのかを正しく理解してください。
その後、獣医師とよく相談しながら、愛犬・愛猫にとって最善と考えられる選択肢を決めていきます。そのため、時期を決めて経過観察を行うこともあれば、次の検査や治療に進むこともあります。
A 一つの病気に対しても治療法は様々です。
サプリメントや食事療法から始める病気も多数あります。ご家族が納得し、無理せず続けていける最善の治療法を獣医師と一緒に相談していきましょう。また、当院での治療が困難な病気であっても、獣医師は専門病院や二次診療施設と連携を取り、愛犬・愛猫に対して最善の医療を提供できるよう、最大限にご協力致します。
料金※
※料金は税込価格になります。
※2025年12月1日よりプラン内容と料金の改定があります。詳しくはこちらをご覧ください。
犬の健康診断
| ベーシック | 15,500円 |
|---|---|
| ベーシック7歳以上 | 20,400円 |
| スタンダード | 27,800円 |
| スタンダード7歳以上 | 40,800円 |
| プレミアム | 66,700円 |
| 院内採尿費※ | 1,160円 |
※2025年12月1日より価格を改定いたしました。
※ご自宅で採尿できない場合は院内で採尿いたします。
※プランに含まれていない検査も受けることができます。その場合、健康診断の料金に加えて別途検査費用がかかります。
猫の健康診断
ワンちゃんとネコちゃんでおすすめの検査が異なるため、ネコちゃんの健康診断プランを新たに設けました。
| ベーシック (全年齢共通) |
20,200円 |
|---|---|
| スタンダード (全年齢共通) |
34,800円 |
※プランに含まれていない検査も受けることができます。その場合、健康診断の料金に加えて別途検査費用がかかります。
最後に
「人間と同じレベルの健康診断を提供したい」という想いを込めて、当院では健康診断を「健康診断DOC」と呼んでいます。
血液検査だけでは健康であると言うことはできません。
そのため、サーカス動物病院では動物の健康状態をより確かに診るために、必要な検査を行うことで『健康で長生きしてほしい』というご家族様の願いに寄り添いたいと思っています。
ご不明点などございましたらお気軽にお問い合わせください。
ご家族様と愛犬・愛猫がいつまでも健康で長生きできることを心より願っています。
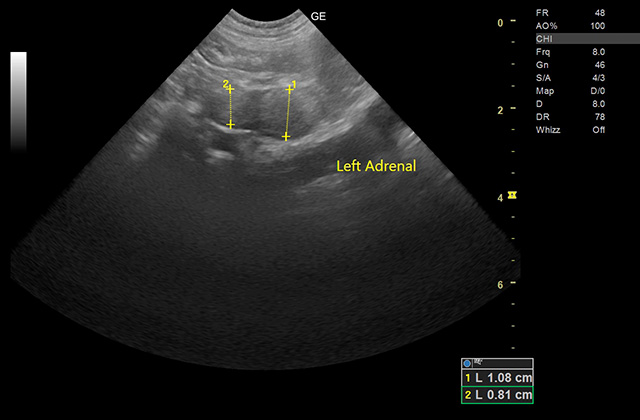
症例紹介
ラブラドール・レトリバー/8歳/副腎腫瘍
普段はアトピー性皮膚炎で当院に通っている患者様です。
8歳になったのきっかけに健康診断実施したところ、お腹の中の副腎に腫瘍があることが健康診断でわかりました。
大学病院で検査をしてもらったところ、この子は無症候性の副腎腫瘍と診断されました。副腎腫瘍は大きくなると周囲の血管を巻き込み、手術の難易度が高くなります。
幸い、この子は早期に発見できたため、お薬による治療と、定期的に副腎のサイズを超音波検査することで落ち着きました。
今回の子のように症状がなくても体の中で進行していく病気はたくさんあります。
重症化する前に、定期的な検査により病気を見つけ、治療をしていくことが健康寿命の延伸に繋がります。