呼吸器科 respiratory

皆さんの愛犬・愛猫でこんなトラブルありませんか?

犬や猫を飼っている皆様は、呼吸器の病気というとどのような病気を思い浮かべますか?
呼吸器疾患では、

  • はあはあして苦しそう
  • 咳が止まらない
  • くしゃみが出る
  • 熱っぽくてぐったりしている
  • 食欲がない

など、見ていてかわいそうになる症状が起こります。
「すぐに楽にしてあげたい」と動物病院に駆け込みたくなるような症状ですよね。
実際にすぐに対処してあげなければ命に関わるような病気も多いのが、呼吸器疾患の特徴でもあります。
呼吸は、身体中に酸素を送るために行われます。特に脳は呼吸が止まると数分で死んでしまうほど、命の維持に重要な役割を担っています。
そんな重要な役割を担っている呼吸器の病気はどのように調べ、どのような病気があるのでしょうか。呼吸器症状を放っておくと、重症化して命に関わることもあります。当院では、犬や猫の呼吸器症状にお悩みのご家族に寄り添ってしっかりと検査治療を実施しています。
愛犬や愛猫の呼吸器症状でお悩みの方は、ぜひ当院へご相談ください。

呼吸器科の診断・検査方法

身体検査

どんな病気でも最も重要なのが身体検査です。身体検査では、主に獣医師が五感を使った検査を実施します。

  • 立っているのか、ぐったりと立てなくなっているのか
  • 空気を吸う時間が長いのか、吐く時間が長いのか
  • 舌の色や粘膜の色はどんな色なのか
  • 熱はあるのか

など犬や猫をしっかり触ったり観察したりすることで、さまざまな情報を得ることができます。聴診では、肺の音や心臓の音を調べます。肺の病気では特徴的な異音が聞こえる事もあるため非常に重要です。他にも聴診で呼吸数や心拍数を数えることで、動物がどれくらい苦しい状況なのかも判別することができます。
身体検査は一見簡単な検査に見えますが、実は最も重要な検査と言っても良いでしょう。

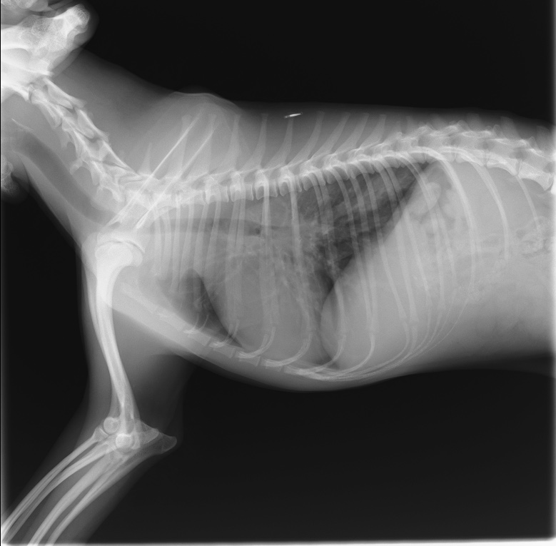
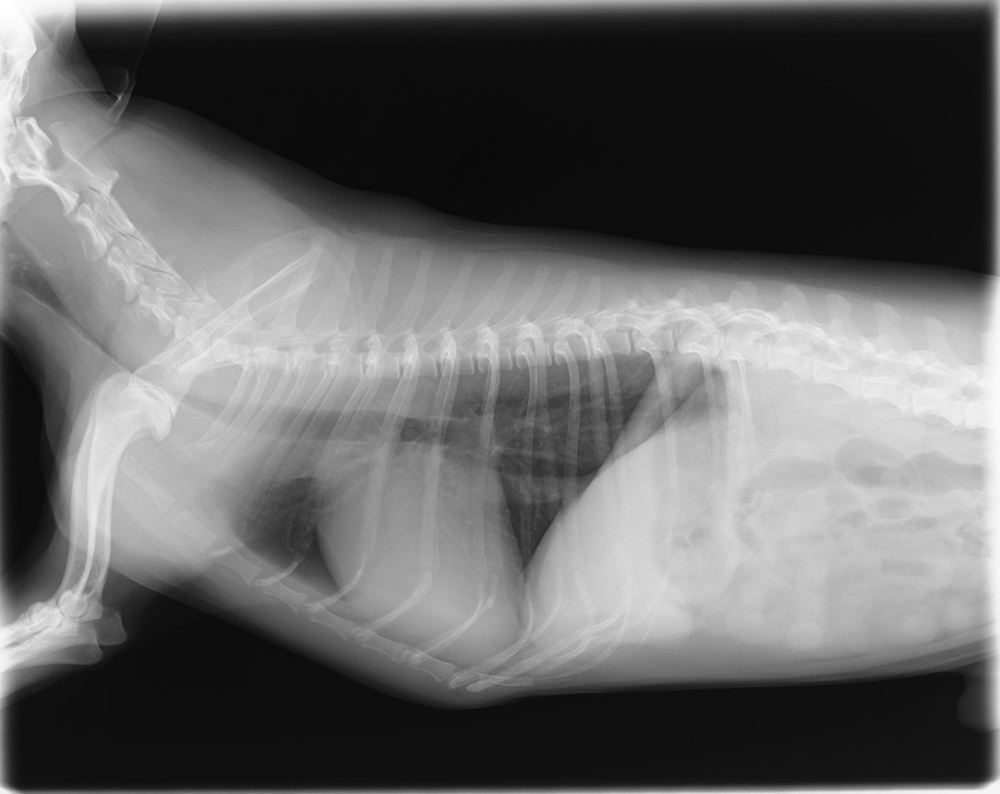
胸部レントゲン検査

胸部レントゲン検査は、呼吸器の病気について最も短時間で行うことができ、得られる情報量の多い検査です。
健康診断でご自身のレントゲン画像を見たことのある方も多いのではないでしょうか。人間のレントゲン検査と同じように、動物の体を透視したような画像を写すことができます。
レントゲンが呼吸器疾患の診断に適しているのは、レントゲンの画像が白黒の濃淡を、空気と臓器でそれぞれ異なって写すことができるためです。体の中で唯一空気を含んでいる呼吸器では、色のコントラストにより異常を判断することができます。レントゲン検査は、呼吸器のある胸の構造を観察するのに非常に有効です。
検査自体は短時間で行うことができますが、画像を撮影するのに体を抑える必要があります。犬や猫が体を抑えられることで興奮してしまうと、呼吸状態が悪い場合は命に関わることがあるため、当院では慎重に検査を行っています。

胸部レントゲン検査

胸部超音波検査

胸部超音波検査は、犬や猫のストレスを最小限に抑え、最低限の情報を得ることのできる検査です。超音波検査は液体のある部位を観察することに適しているため、空気のある胸部は詳しく観察することはできません。しかし、胸に液体が溜まる胸水や肺に水分の多い部分ができる肺炎や肺腫瘍の場合は超音波検査が有効です。本来何も観察できないはずの検査で、構造物が見えるようになる、ということで異常を発見することができます。
超音波検査の最大のメリットは苦しい状態で来院する呼吸器疾患のある動物に対し最低限のストレスで情報を得ることができるという点です。
超音波検査は、立ったままなど動物にとって楽な姿勢で、また、状況によっては濃度の高い酸素を吸いながら検査することができます。

胸部超音波検査

血液検査

血液検査は、呼吸器疾患がなぜ起こっているかの原因を調べるのに有効です。炎症や感染が起こると、そのような状況に対し体を守るために働く血球が増加したり、急性炎症を示すタンパク質の数値が高くなったりします。
肺炎のように急に発症する疾患では血液検査の結果が原因を特定するのに非常に有効です。血液検査ではよりリアルタイムで犬や猫の体の状態を把握することができるため、治療の効果判定などに使用することもあります。

藤沢市にあるサーカス動物病院の特徴

動物に優しい診察空間

当院では、動物が安心して診察を受けられるよう、快適な診察空間を提供しています。動物がリラックスできるように配慮した空間設計により、診療に伴うストレスを最小限に抑えることが可能です。
動物たちの様子を見ながら不安を最小限に抑えられるように診察や治療を進めていきます。

飼い主様への丁寧な説明と指導

当院では、診断結果や治療方針について、飼い主様にわかりやすく丁寧に説明します。呼吸器科の病気の治療には、飼い主様の理解と協力が不可欠です。
それぞれの呼吸器疾患で最適な治療方法など具体的なアドバイスを提供いたします。
飼い主様との信頼関係を大切にし、愛犬・愛猫の健やかな暮らしを支えます。

説明と指導

代表的な呼吸器疾患

犬と猫の肺腫瘍

肺腫瘍は、主に高齢の犬や猫で発症します。
肺腫瘍は、肺から発生する原発性肺腫瘍と、その他の体の部位に発生した腫瘍が転移する転移性肺腫瘍に大きく分けられます。どちらも症状が出ることはあまりなく、健康診断や他の症状で来院された時に偶発的に見つかることが多いです。腫瘍が大きくなると、乾いた咳や呼吸困難などの症状が出ることもあります。
原発性肺腫瘍は、単独の結節のように発生することが多く、その場合は外科手術で腫瘍を切除することが根本的な治療になります。腫瘍の治療は腫瘍細胞を体から無くすことが目的となるため、多発性にできている場合や転移性肺腫瘍では外科手術は適応ではありません。その場合には、腫瘍の種類によって抗がん剤を使用します。腫瘍の発生が単発で小さいうちに完全切除できた場合は長期予後が期待できますが、そうでない場合の予後は不良です。
高齢の犬や猫では特に、健康診断による早期発見早期治療が重要ですね。

犬と猫の肺炎

肺炎は、ウイルスや細菌などによる感染症により発症します。犬では、ジステンパーウイルスなどのウイルスによる肺炎も有名ですが、近年はワクチンの普及により発生は減少していて、細菌感染症による肺炎が最も多いです。
肺炎は、他の疾患の悪化により発症することが多く、肺炎と診断された場合は基礎疾患の探索が重要です。治療は原因によりますが、細菌性肺炎の場合は抗菌薬を使用します。呼吸状態が悪い場合は、濃度の高い酸素を供給できる酸素室で過ごしたり、頻呼吸による脱水防止のために点滴を実施するために入院治療を行う場合もあります。
肺炎は、治療がしっかり行われれば予後は良好です。しかし、治療開始の時期が遅れたりして、敗血症や急性呼吸ひっ迫になってしまうと亡くなってしまう事もある疾患です。基礎疾患によっては再発を繰り返す事もあるため、きちんと基礎疾患の検査を実施し、その治療を行うことが重要になります。

肺炎

犬の気管支炎

犬の気管支炎については、子犬では伝染性気管気管支炎、高齢の犬では慢性気管支炎を発症することが多いです。
伝染性気管気管支炎はケンネルコフとも呼ばれるウイルスや細菌の複合感染症です。生後間もないまだ免疫の発達していない子犬で多く発症します。症状はくしゃみや咳が多く、活動性や食欲などには影響しないことが多いです。治療は抗菌薬で改善することが多いですが、完全に咳がなくなるのは数週間かかる事もあります。ごく稀に肺炎に移行する事もあり、気管支肺炎になってしまうと集中治療が必要になります。
慢性気管支炎ははっきりした原因がないのに気道が炎症を起こし咳が続いている状態のことをさします。肥満の高齢犬で発症することが多く、症状は、主に痰の絡んだような咳です。治療はステロイドや気管支拡張薬、去痰薬を使用します。原因に肥満や喫煙者の同居も関連しているため、生活改善も効果的です。

犬の短頭種気道症候群

短頭種気道症候群は、短頭種を飼っているご家族は一度は聞いたことがある言葉ではないでしょうか。短頭種とは、フレンチブルドックやパグなどの鼻の短い犬種を指します。
短頭種気道症候群は

  • 外鼻孔狭窄
  • 軟膏蓋過長
  • 喉頭小嚢の反転

など生まれつきの呼吸器の構造が呼吸に影響する病態です。
これらの状態により呼吸器の肺に至るまでの部分で気道が狭くなりやすく、体に安定した酸素供給が難しくなります。症状は、呼吸時にスターターと呼ばれる異常音を発したり、空気を吸う時間が吐く時間に対し長くなったりすることがあります。重症の場合や悪い条件が重なった場合は呼吸困難のような状態になりやすいため、注意が必要です。これらの治療はそれぞれ、外科手術になります。外科手術がうまく行われた場合は予後は良好です。
短頭種のいびきは愛らしい姿ですが、犬自身はうまく酸素を吸えず、苦しい状態なのかもしれません。

短頭種気道症候群

犬の気管虚脱

気管とは口から吸った空気を肺まで送るチューブのような器官です。軟骨でできているため、息を吸ったり吐いたりして圧力がかかっても、その形状を維持しています。その気管が何らかの原因で本来の硬さを失い、呼吸によって径が変化してしまう病気を、気管虚脱と言います。シュノーケルやストローなどの管を使って呼吸をするときのことを想像してみてください。その管が呼吸の圧力により途中で凹んでしまうと苦しいですよね。気管虚脱は中齢の犬で発症することが多く、好発犬種はヨークシャーテリアやポメラニアンなどの小型犬です。症状は、乾いた咳や疲れやすいといったものが多いです。治療は、症状が軽い場合は気管支拡張剤や咳止めなどの内科治療から行います。肥満の犬では、呼吸の効率が悪化しているため、ダイエットで症状が改善する事もあります。重症の犬では、気管の外側に気管を拡張する器具を設置する外科治療を行います。

気管虚脱

犬の喉頭麻痺

喉頭とは、喉にある気道の一部で、息を吸うときに開き、息を吐く時に閉じる、空気の門のような働きを担う器官です。喉頭麻痺では、これが何らかの原因により麻痺してしまい、息を吸う時にも閉じた状態になってしまいます。
喉頭麻痺は、先天性の場合と後天性の場合があり、どちらもダルメシアンやラブラドールレトリバーなどの大型犬で発症することが多いです。後天性の場合は、甲状腺機能低下症や重症筋無力症などの基礎疾患があることもあれば原因不明の事もあります。
症状は、軽症の場合はストライダーと呼ばれる息を吸うときにガーガーという異常音や努力呼吸です。重症の場合は、呼吸困難で亡くなってしまうこともあります。
喉頭麻痺の根本的な治療は外科手術です。簡単にいうと喉頭の一部を切断し喉を広げる手術を実施します。呼吸困難などの緊急性の高い状態の場合は、濃度の高い酸素を吸わせたり、呼吸を促す薬を投薬します。興奮している場合は、鎮静をかける事もあります。状態が落ち着いたら根本的な治療を行います。

猫喘息

猫喘息は、何らかの原因で人間の喘息と似たような症状を引き起こす気管支の炎症です。アレルギーの一種で、空気中のアレルゲンに対して免疫が過敏に反応することにより、気道粘膜が炎症を起こして腫れてしまうと考えられています。アレルゲンは空気中のダニや花粉など、猫によって違うと考えられていて、その原因を特定することは困難です。
発症年齢は人の喘息と違い、中齢から発症することが多いです。
症状は、発作性の咳やくしゃみが一般的です。猫喘息は重症化することもあり、呼吸困難でとても苦しい状態になることもあります。
治療は、軽症の場合は抗炎症薬や気管支拡張薬を使用します。錠剤が飲めない場合や、飲み薬だけでは改善が期待できない場合はネブライジングを行うこともあります。ネブライジングとは、霧状にした薬剤を動物が吸入をすることで直接気道に届けることのできる治療法です。ネブライジングには、全身投与とは違って副作用が少ないというメリットもあります。重症の場合は、これらに加えて高濃度の酸素環境内に入院して薬が効くのを待つこともあります。