皆さんの愛猫でこんなトラブルありませんか?
- 耳のあたりを痒がっている
- よく頭を振っている
- 耳から臭いがする
- 耳垢が多い
- 耳の中が赤い
これらの症状がみられる場合は注意が必要です。
猫の耳の病気は放っておくと元気がなくなることもあります。
治療が遅れると、症状が長引いてしまいなかなか治らなくなることもあるため、早期発見早期治療が重要です。
適切な治療を行うことで猫のストレスを和らげることができます。
気になる症状がある場合は、お早めにご相談ください。
耳科の診断・検査
耳鏡検査
耳鏡検査では耳鏡を使って耳の穴の中を鼓膜まで観察します。
耳の形状を確認し、腫れ、傷の有無や耳垢の様子を見ることで外耳炎などの診断をします。
猫にとっては痛みや負担はほとんどない検査です。
異物や腫瘍を見つけることもできるため、耳鏡検査は重要ですね。
耳垢検査
耳の中から耳垢を採取して顕微鏡で、細菌やダニ、カビの有無を調べます。
猫の耳垢に細菌が見られた場合、培養をすることでどのような抗菌薬が有効かを調べることもできます。
細菌やダニ、カビが原因で耳のトラブルが起きている場合は適切な治療薬を使うことが重要です。
耳垢検査は原因を特定して、早く治療するために有効な検査方法ですね。
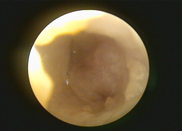
オトスコープ(耳内視鏡)検査
オトスコープは、耳鏡検査よりもより詳細に耳の内部を観察することができるカメラのような器具です。
オトスコープ検査により耳の中の炎症や異物をチェックし、外耳炎や鼓膜の先の中耳炎の診断が可能です。
オトスコープは耳の中を観察できるだけでなく、外耳や内耳の洗浄を行ったり、異物の除去や腫瘍の切除を行ったりと治療にも使用することができます。
耳鏡検査だけでは分からなかった情報を得るためにも、オトスコープ検査は有用ですね。
オトスコープは内視鏡の一種なので、検査に麻酔が必要だと思われる方もいますが、観察だけであれば無麻酔での実施が可能です。
猫の性格や耳の痛みによっては麻酔が必要になることもありますので、よく獣医師と相談しましょう。
レントゲン検査
レントゲン検査は耳鏡やオトスコープが入らないくらい耳の穴が塞がっているときなどに実施します。
耳の内部が物理的に観察出来ない場合は、レントゲン検査で耳の中に液体がたまっているかどうかや耳の中に石灰が沈着していないか、腫瘍で耳が塞がっている可能性がないかなどが確認できます。
耳の症状が長引くと、耳の穴が閉じてしまってレントゲン検査でないと観察できないことがあるのですね。
耳のトラブルは早めに動物病院にご相談にいらしてください。
専門耳科診療について
藤沢菖蒲沢院では、専門性の高い耳科診療に対応しています。ゆめが丘院・菖蒲沢院どちらでも皮膚のお悩みや一般診察を承り、専門的な検査や治療が必要な場合は、藤沢菖蒲沢院の専門耳科診療へご案内いたします。
藤沢市にあるサーカス動物病院の特徴
日本を代表する皮膚科・耳科専門施設
当院はアジア獣医皮膚科専門医2名、アジア獣医皮膚科専門医協会レジデント3名が在籍する日本を代表する皮膚科専門施設です。
豊富な経験と知識をもとに高度な皮膚科・耳科診察を提供し、飼い主様からだけではなく、トリマーや動物病院など、動物のプロから頼られる科です。
また、耳科を専門とするアジア獣医皮膚科専門医を顧問に招き、耳道内視鏡を用いた高度な耳科処置や外科手術にも対応しています。


最新設備を備えた診療環境
当院では耳科の専門診療を行うために、最新の設備を導入し、より正確な診断と安全な治療を提供できる体制を整えています。
特にオトスコープは、外耳や中耳内の徹底的な洗浄、ポリープや腫瘍の切除など幅広い処置が実施できます。
外耳炎の治療が長期化している、治ってもすぐに再発するなどの場合はオトスコープによる詳細な観察が有効です。
飼い主様への丁寧な説明と指導
当院では、初診60分は再診30分という一般の動物病院ではありえないほどの長時間の診察時間を設け、診断結果や治療方針について、飼い主様にわかりやすく丁寧に説明します。
耳の病気の治療には、飼い主様の理解と協力が不可欠です。
耳の掃除の仕方や薬の使用法など具体的なアドバイスを提供いたします。
飼い主様との信頼関係を大切にし、愛猫の健やかな暮らしを支えます。
動物に優しい診察空間
当院では、動物が安心して診察を受けられるよう、快適な診察空間を提供しています。動物がリラックスできるように配慮した空間設計により、診療に伴うストレスを最小限に抑えることが可能です。
動物たちの様子を見ながら不安を最小限に抑えられるように診察や治療を進めていきます。
※専門耳科診療は藤沢菖蒲沢院で対応しています。
代表的な症状について
猫の外耳炎
猫の外耳炎は、耳の外耳道という鼓膜までの通り道が炎症を起こす病気です。
猫の外耳炎は
- 耳が赤く腫れる
- 痒がる
- 耳の中が臭い
- 耳垢が多く出る
などの症状がみられます。

これらの症状がみられる場合は早めにご相談ください。
猫の外耳炎の治療方法は、耳の洗浄の実施に加えて、抗生剤や消炎剤などの使用、基礎疾患の治療などがあります。
どの治療を行うかは、外耳炎の原因によって違います。
外耳炎の原因を調べて適切な治療を行うために、検査でしっかりと原因を特定しましょう。
症状が軽いほど治療にかかる時間も少なくなります。
早期発見早期治療のためにも猫とコミュニケーションをとって耳をよく観察することが重要ですね。
猫の耳ダニ症
猫の耳ダニ症は猫の耳にミミヒゼンダニという寄生虫が感染することで起こります。
ミミヒゼンダニは猫の耳に強い痒みをもたらします。
強い痒みにより
- 頭を振る
- 耳をしきりにかく
- 耳を常に倒している
などの行動が見られるのが特徴です。
痒みで強く耳をかいたり頭を振ったりすることで
- 炎症
- 細菌感染
- 耳周囲の脱毛
- 耳の出血や腫れ
といった皮膚症状を引き起こします。
重症化すると内耳炎につながり
- 首が傾いてしまう斜頸
- くるくる回る旋回運動
- ふらつきの出る平衡障害
といった神経症状が出てしまうこともあります。

痒みのほかに、黒い耳垢が大量に出るのも特徴です。
黒い耳垢は、ミミヒゼンダニが排泄した糞が元になっています。
糞ということは当然臭いもきつくなってしまいますよね。
耳や耳垢が臭いのも症状の一つです。
猫の耳ダニ症は原因であるミミヒゼンダニの駆除が一番の治療方法となります。
耳の炎症や細菌感染などがある場合は、症状に対する治療を行うことも大切です。
抗生物質や消炎剤などの内服薬を使用して症状を抑える治療をしていきます。
中耳炎
猫の中耳炎は、耳の鼓膜の奥にある中耳とよばれる部分に炎症が起きる病気です。
多くは外耳炎が進行することで鼓膜に穴が開き、中耳にまで炎症が進行してしまうことで起こります。
外耳炎同様に細菌や寄生虫などが原因になるほか、異物や腫瘍によって鼓膜に穴があいてしまって発症する場合もあります。
猫の中耳炎は
- 首が傾いてしまう斜頸
- くるくる回る旋回運動
- ふらつきの出る平衡障害
といった神経症状が出てしまうことや
- 嘔吐
- 食欲不振
- 起立困難
- 顔面麻痺
という症状につながることもあります。

猫の内耳炎の治療は基本的には内科治療です。
根本の原因になっている外耳炎の治療と同じように、抗生物質や消炎剤などの内服薬を使用して症状を抑えていきます。
中耳炎の原因が腫瘍や異物の場合は、取り除くための外科手術が必要になることもあります。
中耳は鼓膜の奥にあるため普通の耳鏡では検査が難しいです。
オトスコープを使用して詳細に検査をし、原因をしっかり特定することが重要ですね。
耳血腫
猫の耳たぶを耳介といいます。
耳介は皮膚と耳介軟骨という軟骨でできています。
耳血腫は耳介の軟骨と皮膚の間に血液が溜まってしまう病気のことです。
なんらかの原因で耳介軟骨が傷つき、血管が破れて出血することで発症します。
耳血腫は初期の段階では、耳を気にしてかいたり頭を振ったりする行動が症状として見られるでしょう。
発症すると耳を触られるのを嫌がったり、耳が熱を持っていたりすることがあります。
耳血腫が進行すると、耳が水風船のように膨らみブヨブヨと腫れ上がります。
重みが増し、耳が垂れ下がっていくのも症状の一つです。
耳血腫は原因となった病気を治療することが一番の治療方法です。
原因である病気の治療に加えて、耳介にたまった液体を抜いたり炎症を抑えるためにステロイドや抗生剤を投与します。
耳血腫は再発を繰り返すことが多いため、重度の耳血腫の場合や再発が多い場合は外科治療が必要なこともあります。
再発を繰り返すと耳が変形してしまうこともあるため、早期発見早期治療が重要です。
猫の耳に違和感を感じた場合は早めに当院へご相談ください。

※専門耳科診療は藤沢菖蒲沢院で対応しています。
藤沢菖蒲沢院Web予約(専門診療対応)
横浜ゆめが丘院Web予約