皆さんの愛犬・愛猫でこんなトラブルありませんか?
- 呼吸が速い
- 咳をしている
- 運動を嫌がる
- 疲れやすい
- 舌や歯茎が青白い
- お腹が膨れている
愛犬・愛猫にこのような症状が見られる場合は循環器の問題の可能性があります。
循環器の病気は初期段階では症状が現れにくく、気がつかないうちに進行してしまう場合も少なくありません。
「もっと早く気づいてあげればよかった…」
このように後悔しないためにも、これらの症状を見つけた時は、できるだけ早いタイミングで循環器科の診察にいらしてください。
早期発見・早期治療により、愛犬・愛猫の生活の質を維持することができます。
藤沢市にあるサーカス動物病院の循環器科の診断・検査方法
レントゲン検査
レントゲン検査では心臓の大きさや形、肺の状態を確認することができます。 心臓病が進行すると心臓が大きくなったり、肺に水が溜まることがあります。 レントゲン検査でその兆候を早期に発見することが可能です。
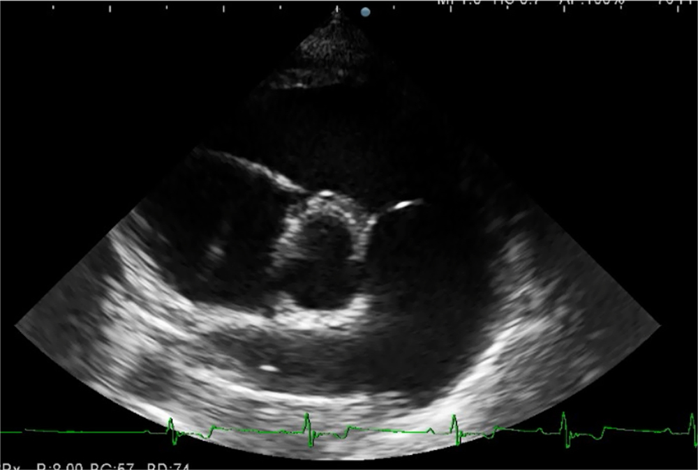
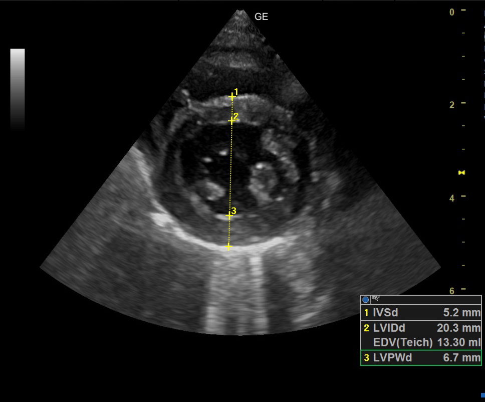
心エコー検査
心エコー検査では、超音波を用いて心臓の形態や動きをリアルタイムで観察できます。
心エコー検査は、
- 心臓の大きさ
- 心臓の壁の厚さ
- 弁の状態
- 血流の様子
などを詳細に評価できます。
非侵襲的で痛みを伴わず、短時間で行えるため、循環器疾患の診断に欠かせない検査です。
心電図検査
心電図検査は心臓の電気的活動を記録する検査です。
おもに不整脈の有無や種類を評価する検査ですね。痛みを伴わない検査なので、動物への負担も少ないです。
心臓病の診断や治療方針の決定に重要な情報を提供してくれます。
血圧測定
血圧は循環器の健康状態を知るための重要な指標です。
高血圧や低血圧は心臓病の兆候として現れることがあります。定期的な血圧測定は、適切な治療方針の決定や薬物療法の調節に重要です。
藤沢市にあるサーカス動物病院の特徴
高度な循環器診療を提供
当院の循環器診療では、大学の研修医を修了し、豊富な経験を積んだ獣医師が担当します。
他院では対応できなかった先天性循環器疾患の診断や、高齢な動物に対して生活スタイルに合わせた最適な治療をご提案しています。
セカンドオピニオンなど遠方からいらっしゃる方も対応しています。
動物に優しい診察空間
当院では、動物が安心して診察を受けられるよう、快適な診察空間を提供しています。動物がリラックスできるように配慮した空間設計により、診療に伴うストレスを最小限に抑えることが可能です。
動物たちの様子を見ながら不安を最小限に抑えられるように診察や治療を進めていきます。
飼い主様への丁寧な説明と指導
当院では、診断結果や治療方針について、飼い主様にわかりやすく丁寧に説明します。循環器科の病気の治療には、飼い主様の理解と協力が不可欠です。
それぞれの循環器疾患で最適な治療方法など具体的なアドバイスを提供いたします。
飼い主様との信頼関係を大切にし、愛犬・愛猫の健やかな暮らしを支えます。
代表的な循環器科疾患について
犬の僧帽弁閉鎖不全症
僧帽弁閉鎖不全症は犬にもっとも多い心臓病です。小型犬に多く見られる心臓病で、心臓の左心房と左心室の間にある僧帽弁が変性し、うまく閉じなくなることで血液が逆流してしまう病気です。
初期は無症状ですが、進行すると
- 咳をするようになる
- 散歩や運動で疲れやすくなる
- 呼吸が荒くなる
- ふらつくようになる
などの症状が見られるようになります。
僧帽弁閉鎖不全症は早期発見と適切な管理が重要です。当院では定期的にレントゲン検査や心エコー検査を行いながら、症状に応じた治療を行っています。適切な薬物療法により、多くの場合は良好な生活の質を維持できます。

犬の肺高血圧症
肺高血圧症とは心臓から肺へ血液を送る肺動脈という血管の血圧が上がり、肺へ血液を送りづらくなる病気です。
犬の肺高血圧症はさまざまな原因で引き起こされます。犬でもっとも多い原因は僧帽弁閉鎖不全症などの心臓病です。
他にも肺炎などの呼吸器疾患やフィラリア症が原因になることもあります。
肺高血圧症の症状は、
- 疲れやすくなる
- 咳
- 失神
- チアノーゼ(舌や歯茎が青紫色になる)
- 腹水によりお腹が膨れる
などがあります。
肺高血圧症の診断には、レントゲン検査や心エコー検査が有用です。当院では、これらの検査を通じて肺高血圧症の原因を特定し、適切な治療方針を決定していきます。
肺高血圧症の治療では、肺高血圧症を引き起こしている根本的な病気を治療します。
また、血管拡張薬を使用して肺動脈の血圧を下げることも重要です。

猫の肥大型心筋症
猫の肥大型心筋症は心臓の筋肉が厚くなることで心臓の動きが障害され、全身に十分な血液を送り出せなくなる病気です。 肥大型心筋症は特定の猫種において発生しやすいことが知られています。特にメインクーンやラグドールなどの純血種に多く、遺伝的要因が関与していると考えられています。 猫の肥大型心筋症は、初期段階ではほとんど症状が現れないため、飼い主様が気づくことは難しいです。 しかし、病気が進行すると、呼吸困難や突然倒れてしまうなどの重篤な症状が現れることがあります。 肥大型心筋症は早期発見が難しいため、定期的な健康診断がおすすめですね。 健康診断では血液検査だけではなく、レントゲン検査や心エコー検査といった画像検査も行うことで病気の早期発見につながります。 当院ではこれらの検査を通じて猫の心臓の状態を正確に把握し、適切な治療方針を立てることができます。

猫の大動脈血栓塞栓症
猫の大動脈血栓塞栓症は、おもに心疾患に関連する合併症であり、特に肥大型心筋症で多く見られます。
大動脈血栓塞栓症では後ろ足に血液を送る動脈内に血栓ができることが多く、血流が遮断されることで急激な症状が現れます。
代表的な症状は以下の通りです。
突然の激しい痛みや麻痺が発生し、
- 猫が大声で鳴いたり暴れたりする
- 後ろ足が動かなくなり、冷たくなる
- 肉球の色が白または紫色になり、体温が低下する
これらの症状は突然現れるため、飼い主様は驚いてしまうことが多いですね。
大動脈血栓症は命を落とすことも多いため、早期の診断と治療が不可欠です。
猫の大動脈血栓塞栓症を防ぐためには、定期的な健康診断が大切です。
心エコー検査などを行うことで肥大型心筋症を早期に発見し、血栓のリスクが高い場合は抗血栓薬を投与します。

藤沢菖蒲沢院Web予約
横浜ゆめが丘院Web予約